Translational Oncology Research Group

Research Programme

Image
Oncology logo banner

Current projects:

Image
EA2clin

Genomic Prediction of Response to Endocrine Therapy in ER+ Breast Cancer

We developed a clinical test (EA2Clin) which combines genomic features with clinical parameters to predict response to endocrine therapy in breast cancer. Our test focuses on a key biomarker, IL6ST, alongside markers of proliferation to stratify patients into high and low-risk recurrence groups. For improved stratification in node positive patients, we incorporate direct genomic assessment of nodal metastases early on-treatment. Our test has been validated in several independent datasets and validation is currently underway in the POETIC cohort before moving towards prospective clinical trial.

Image
Chart

Endocrine Therapy Resistance and Recurrence

We are using a multiomics approach (RNAseq, DNAseq, GeoMx DSP and CutSeq) to profile a large series of ER+ matched primary and recurrent (while on adjuvant endocrine therapy) breast cancer samples from a cohort collected at the Edinburgh Breast Unit. We are using these technologies alongside bioinformatics approaches to better understand and characterise the mechanisms underlying resistance to endocrine therapy.

Image
Genomic and Response Directed Assay & In-Situ Mutation Detection diagram

Genomic and Response Directed Assay & In-Situ Mutation Detection

We are developing an in-situ approach and pipeline which utilises fresh breast cancer tissue to predict drug response at the genomic level in real time. Our current efforts are focused on predicting response to different endocrine therapy agents and CDK inhibitors in ER+ breast cancer.

We have also developed a process for in-situ mutation detection in tissue samples. Next-generation sequencing (NGS) has shown ESR1 mutations (ESRMs) are present in 10-40% of recurrent/metastatic breast cancers treated with aromatase inhibitors. Many of these mutations are located in the ligand-binding domain of ER, so can lead to constitutive activation. We are currently focused on the development and validation of a clinically-applicable in-situ mutation detection assay for the identification and quantitation of ESRMs and other mutations in breast cancer tissues.

Image
Triple Positive Breast Cancer diagram

Triple Positive Breast Cancer

ER+ and HER2+ breast cancers can have different levels of active signalling of these pathways. By better understanding the interplay between these pathways and through the development of biomarker surrogates of signalling activity we aim to improve the stratification of these patients into those with lower risk disease who can be safely managed with endocrine therapy alone and those with higher risk disease and active HER2 signalling who could gain benefit from chemotherapy alongside HER2-targeted agents. To do this we are studying cohorts of triple positive breast cancer patients with a comprehensive multiomics analysis approach.

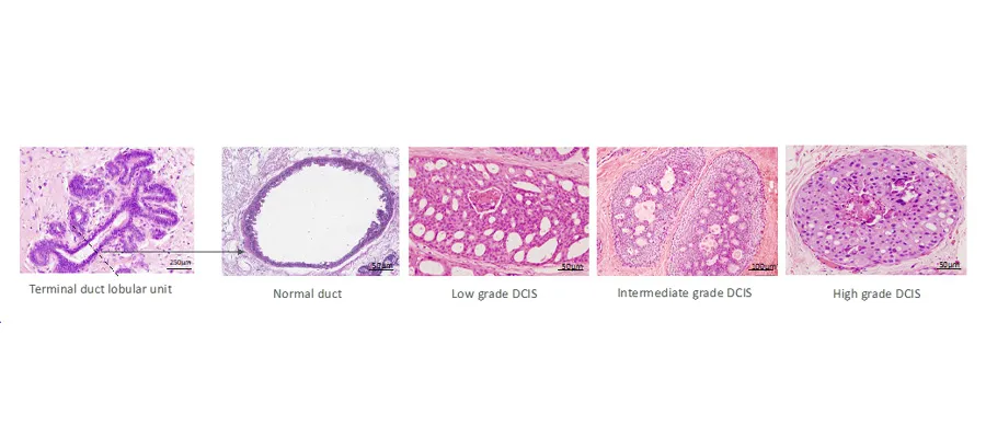
Image
DCIS Diagram

DCIS

Ductal carcinoma in situ (DCIS) of the breast represents a heterogeneous group of non-invasive neoplastic lesions, comprising malignant-appearing epithelial cells, confined to the breast terminal duct lobular units that differ in histologic appearance and biological potential. While little is known about the natural history of DCIS, it is widely considered to be a precursor in the evolution of invasive breast cancer. Our current research involves a multiomics analysis of a large cohort of DCIS tumours with the aim of identifying and validating novel biomarkers with prognostic power. There is a clinical need to develop and validate new biomarkers to improve risk assessment and treatment decision-making for women with DCIS. Reliable and accurate identification of women with a high risk of recurrence will allow for more effective use of adjuvant systemic therapies such as endocrine therapy and HER2-targeted therapy and even selection of some patients for mastectomy rather than breast conserving surgery. This could also spare patients who are unlikely to recur from unnecessary over-treatment.

Risk Prediction in Breast Cancer

Genomic predictors of risk in breast cancer are used routinely in patients with intermediate clinical risk to guide treatment with adjuvant chemotherapy. A number of these predictors have been developed and differ in terms of underlying biology and cost. We are currently working to compare these genomic predictors alongside clinical variables with the aim of improving risk stratification for breast cancer patients.

Genomic Analysis of Nodal Metastases in Breast Cancer for Improved Stratification

As part of our development of the EA2Clin model, and for improved stratification in node positive breast cancer patients, we incorporated direct genomic assessment of nodal metastases (EA2Clin to EA2CliN). In several cases, nodal metastases differ from the primary tumour in terms of clonal evolution, underlying genomics and signalling pathway activity. We are currently working to better understand the development of resistant clones in nodal metastases and improve risk stratification through the discovery of biomarkers which reflect the presence of these higher risk resistant clones.

Neoadjuvant Letrozole Audit

From 2000-2016 we recruited over 450 patients with ER+ breast cancer to a clinical audit of neoadjuvant letrozole at the Edinburgh Breast Unit. Neoadjuvant treatment was continued for 3-9 months with regular monitoring of tumour response with 3D ultrasound. Serial biopsy samples were collected throughout treatment and long-term follow-up (median 8 years) has been collected. This audit was instrumental to the development of the EA2CliN test and is still under active investigation using a multiomics approach to better understand the genomic response to endocrine therapy. This unique cohort represents the largest in the world of ER+ breast cancer patients treated with an extended course of neoadjuvant endocrine therapy.

Image
Microwave Radiometry and Cancer Imaging Diagram

Microwave Radiometry and Cancer Imaging

The temperature around a malignant tumour correlates with micro vessel density (MVD) – the main indicator of angiogenesis. The temperature of a malignant tumour is also an indicator of the growth rate of that tumour and more malignant lesions have a higher MVD. Measuring the temperature of a cancer therefore has the potential to provide insight into the degree of malignancy. Early during treatment with chemo or hormonal therapy, proliferation and metabolic rate falls in responding cancers and this should be reflected by a fall in the tumour temperature. A microwave radiometry device that non-invasively measures the temperature within a cancer has the potential benefit of providing information on tumour proliferation and metabolism and could be used as an early indicator of benefit to individual therapies and for monitoring efficacy of systemic breast cancer treatments. We are currently running a pilot study which will investigate the clinical application of a microwave radiometry device to breast cancer diagnosis and measurement of treatment response.

Window of Opportunity Clinical Studies

Together with collaborators in pharma we are involved with and run a number of window-of-opportunity clinical studies which used the pre-surgical window to assess the molecular and clinical response of breast cancer drugs and drug combinations. We combine such studies with multiomics approaches for mechanistic characterisation and biomarker discovery.

Biomarkers of Response to Radiotherapy, Anti-androgen Therapy and Chemotherapy in Prostate Cancer

One of our PhD students is currently focused on a project aimed at biomarker discovery for radiotherapy and drug response in prostate cancer. We have developed in vitro models of resistance and characterised treatment response and resistance using a multiomics approach combining DNAseq, transcriptomics and secretome mass spec analysis.