Clinical trial identifies effective adjuvant therapy for patients with kidney cancer

KEYNOTE-564 clinical study, with important contributions from the UK that were led from Edinburgh, shows that adjuvant immunotherapy following surgery improves disease-free survival in patients with clear cell renal cell carcinoma: August 2021

Image
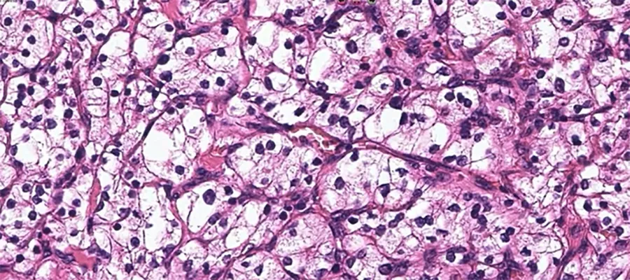
Histology section of ccRCC. Clear cell renal cell carcinoma is named after how the tumour looks under the microscope - the cells
Histology section of ccRCC. Clear cell renal cell carcinoma is named after how the tumour looks under the microscope - the cells in the tumour look clear, like bubbles.

Kidney cancer (renal cell carcinoma or RCC) is the 7th most common type of cancer in the UK, accounting for 4% of new diagnoses. It is common in both man and women, and its incidence more than doubled in the developed world over the past half-century. Clear cell renal cell carcinoma (ccRCC), is the most frequent type of kidney cancer, accounting for about 80% of all RCC cases.

At diagnosis, most patients present with localised disease and surgery (nephrectomy) to remove the kidney is commonly used. Unfortunately, up to 40% of patients relapse with metastatic disease after surgery. There are currently no standard treatment options after surgery to reduce the risk of relapse (adjuvant treatment).

Previous trials of adjuvant drug treatments have been disappointing but the KEYNOTE-564 study was the first phase III clinical trial of adjuvant immunotherapy for this cancer type.

KEYNOTE-564 was a randomized, double-blind trial evaluating pembrolizumab monotherapy for the adjuvant treatment of patients with ccRCC who had undergone nephrectomy but had a significant risk of relapse (either local disease that was high risk or intermediate-high risk, or disease with metastases that could be surgically removed around the time of nephrectomy). 

Pembrolizumab, brand name Keytruda, is a humanized antibody which targets the programmed cell death protein 1 (PD-1) receptor of T lymphocytes (T cells). When functioning properly, T cells are activated and can attack tumour cells but some tumours can evade the immune system through the PD⁠-⁠1 pathway. The PD‑L1 and PD‑L2 ligand proteins on tumour cells can bind with PD⁠-⁠1 receptors on T cells to inactivate the T cells. Pembrolizumab binds to the PD⁠-⁠1 receptor and blocks its interaction with PD‑L1 and PD‑L2, which helps restore the immune response.

The KEYNOTE-564 trial started in June 2017 and recruitment completed in September 2019, with ongoing follow-up of those patients’ outcomes. The study enrolled 994 patients at 213 study locations across 21 countries. In the United Kingdom, it included hospitals in Edinburgh, Glasgow, London, Manchester, Middlesbrough and Stoke-On-Trent. Dr Stefan Symeonides from the Cancer Research UK Edinburgh Centre serves as the UK Clinical Lead for the study. He is also an author on the first published results that have just been released in the New England Journal of Medicine - “Adjuvant pembrolizumab after nephrectomy in renal-cell carcinoma”.

The KEYNOTE-564 trial demonstrated that adjuvant pembrolizumab reduces the risk of relapse, extending disease-free survival after surgery. There was a 32% reduction in the risk of recurrence or death versus placebo. Pembrolizumab treatment also appears to have an early survival benefit, with a 46% reduction in deaths at this early timepoint. The reported toxicities associated with the treatment are in line with expectations and the experts believe that the findings of the study are likely to be clinical-practice-changing, offering a new treatment option for patients after kidney cancer surgery.

The KEYNOTE-564 trial has shown that immunotherapy with pembrolizumab can reduce the risk of renal cell carcinomas coming back after surgery. We think it will lead to a new treatment option for patients, in what would be the first ever European approval of an adjuvant treatment for kidney cancer. Our thanks to all the patients and colleagues who were involved here, and across Scotland, the UK and internationally.

Dr Stefan Symeonides

University of Edinburgh

Related Links

Article in the New England Journal of Medicine: https://www.nejm.org/doi/full/10.1056/NEJMoa2106391

Information about KEYNOTE-564 clinical trial: https://clinicaltrials.gov/ct2/show/NCT03142334

Dr Stefan Symeonides research profile: https://www.ed.ac.uk/cancer-centre/research/symeonides-group

Commentary on the KEYNOTE-564 trial by Rana R. McKay (University of California San Diego): https://ascopost.com/issues/june-25-2021/epov-rana-r-mckay/

Information about kidney cancer: https://www.cancerresearchuk.org/about-cancer/kidney-cancer

Related Stories

AI - empowered personalized cancer medicine: https://www.ed.ac.uk/cancer-centre/news-and-events/news-2020/ai-empowered-personalized-cancer-medicine

Tags

2021