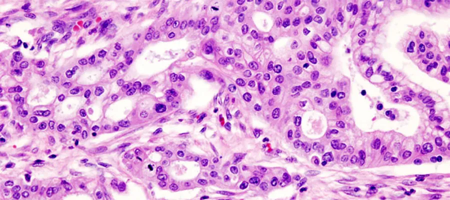
Professor Mark Arends contributed to a study on the role of MYC in instructing and maintaining pancreatic adenocarcinoma phenotype: February 2020 Image Micrograph of pancreatic ductal adenocarcinoma - the most common type of pancreatic cancer. Pancreatic ductal adenocarcinoma (PDAC) is a lethal cancer with a 5-year survival of less than 9%. Its dismal prognosis is in great part due to its typically late presentation and its profound resistance to conventional chemo and radiotherapy. It is therefore imperative to better understand molecular mechanisms implicated in formation and maintenance of the aggressive phenotype of PDAC. Professor Mark Arends from the Cancer Research UK Edinburgh Centre teamed up with researchers from Cambridge, San Francisco and Barcelona, led by Professor Gerard Evan (University of Cambridge), to provide important new insights into the role of the oncogene MYC in PDAC. MYC encodes a transcription factor (a protein involved in regulation of DNA transcription) that has been found to be over-expressed and/or mutated in many cancers. The researchers used a sophisticated mouse model system to demonstrate that MYC activation can drive the transition of the precursor lesions, pancreatic intraepithelial neoplasms, into fully developed PDAC and is subsequently required for the maintenance of that phenotype. The study, entitled “Myc instructs and maintains pancreatic adenocarcinoma phenotype”, was published in “Cancer Discovery” – a journal of the American Association for Cancer Research. The outcomes of the study may guide future developments of pancreatic cancer therapeutics.Related LinksArticle in Cancer Discovery: https://cancerdiscovery.aacrjournals.org/content/early/2020/01/15/2159-8290.CD-19-0435Professor Mark Arends Group websiteInformation about pancreatic cancer: https://www.cancerresearchuk.org/about-cancer/pancreatic-cancer Tags 2020 Publication date 20 Feb, 2020